Sztuczne zęby – ile kosztują?
Sztuczne zęby to temat, który budzi wiele emocji i pytań, szczególnie w kontekście kosztów związanych z ich zakupem i montażem. W Polsce ceny sztucznych zębów mogą się znacznie różnić w zależności od wielu czynników, takich jak typ protezy, materiał, z którego jest wykonana, oraz lokalizacja gabinetu stomatologicznego. Na przykład, protezy całkowite mogą kosztować od kilku do kilkunastu tysięcy złotych, podczas gdy protezy częściowe są zazwyczaj tańsze. Warto również zwrócić uwagę na to, że niektóre gabinety oferują różne promocje oraz pakiety usług, co może wpłynąć na ostateczną cenę. Dodatkowo, koszty mogą być wyższe w większych miastach, gdzie konkurencja jest większa, a standardy usług często wyższe. Dlatego przed podjęciem decyzji warto przeprowadzić dokładne rozeznanie rynku oraz porównać oferty różnych specjalistów.
Jakie czynniki wpływają na cenę sztucznych zębów?
Cena sztucznych zębów nie jest ustalona jedynie na podstawie ich rodzaju, ale także zależy od wielu innych czynników. Przede wszystkim materiał użyty do produkcji protezy ma kluczowe znaczenie. Na rynku dostępne są różne materiały, takie jak akryl, metal czy ceramika. Protezy wykonane z ceramiki są zazwyczaj droższe, ale oferują lepszy wygląd i trwałość. Kolejnym czynnikiem wpływającym na cenę jest technologia produkcji. Nowoczesne metody takie jak CAD/CAM pozwalają na precyzyjne dopasowanie protez do indywidualnych potrzeb pacjenta, co również podnosi koszt usługi. Ważnym aspektem jest także doświadczenie stomatologa oraz renoma gabinetu. Specjaliści z długim stażem i pozytywnymi opiniami mogą pobierać wyższe stawki za swoje usługi. Dodatkowo lokalizacja gabinetu również ma znaczenie – w dużych miastach ceny mogą być znacznie wyższe niż w mniejszych miejscowościach.
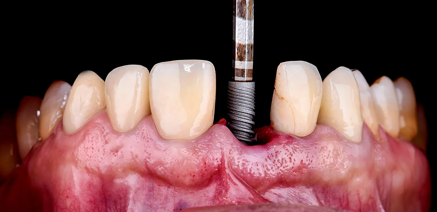
Jakie są rodzaje sztucznych zębów i ich ceny?

Sztuczne zęby dzielą się na kilka rodzajów, a każdy z nich ma swoje unikalne cechy oraz przedział cenowy. Najpopularniejsze są protezy całkowite i częściowe. Protezy całkowite stosuje się u pacjentów, którzy stracili wszystkie naturalne zęby w danym łuku zębowym. Ich cena może wynosić od około trzech do nawet dziesięciu tysięcy złotych w zależności od użytych materiałów oraz technologii wykonania. Z kolei protezy częściowe stosuje się wtedy, gdy pacjent zachował część swoich naturalnych zębów. Ceny takich protez mogą zaczynać się od dwóch tysięcy złotych i sięgać pięciu lub sześciu tysięcy złotych. Innym rozwiązaniem są implanty dentystyczne, które są znacznie droższe – koszt jednego implantu to zazwyczaj od trzech do siedmiu tysięcy złotych. Warto również wspomnieć o mostach protetycznych, które łączą zdrowe zęby z brakującymi i ich cena może wynosić od trzech do dziesięciu tysięcy złotych za jeden mostek.
Jakie są zalety i wady sztucznych zębów?
Sztuczne zęby mają zarówno swoje zalety, jak i wady, które warto rozważyć przed podjęciem decyzji o ich zastosowaniu. Do głównych zalet należy poprawa estetyki uśmiechu oraz funkcji żucia. Osoby noszące sztuczne zęby często czują się pewniej w towarzystwie i mogą swobodnie spożywać różnorodne pokarmy bez obaw o dyskomfort czy ból. Ponadto nowoczesne technologie produkcji sprawiają, że sztuczne zęby są coraz bardziej komfortowe i naturalnie wyglądające. Z drugiej strony istnieją również pewne wady związane ze sztucznymi zębami. Wiele osób skarży się na początkowy dyskomfort związany z noszeniem protez oraz konieczność przyzwyczajenia się do nich. Ponadto sztuczne zęby wymagają regularnej pielęgnacji oraz wizyt kontrolnych u stomatologa, co wiąże się z dodatkowymi kosztami i czasem poświęconym na leczenie.
Jakie są najczęstsze pytania dotyczące sztucznych zębów?
Wielu pacjentów ma wiele pytań dotyczących sztucznych zębów, co jest całkowicie zrozumiałe, biorąc pod uwagę ich znaczenie dla zdrowia jamy ustnej oraz estetyki uśmiechu. Jednym z najczęściej zadawanych pytań jest to, jak długo trwa proces zakupu i montażu sztucznych zębów. Zazwyczaj cały proces może zająć od kilku tygodni do kilku miesięcy, w zależności od wybranego rozwiązania oraz indywidualnych potrzeb pacjenta. Kolejnym ważnym pytaniem jest to, jak dbać o sztuczne zęby. Właściwa higiena jamy ustnej jest kluczowa, aby uniknąć problemów zdrowotnych, dlatego zaleca się regularne szczotkowanie protez oraz stosowanie specjalnych środków czyszczących. Pacjenci często pytają również o to, czy sztuczne zęby można naprawić w przypadku uszkodzenia. Wiele zależy od rodzaju uszkodzenia oraz materiału, z którego wykonane są protezy. W niektórych przypadkach możliwe jest przeprowadzenie naprawy w gabinecie stomatologicznym, jednak czasami konieczna może być wymiana całej protezy.
Jakie są alternatywy dla sztucznych zębów?
Choć sztuczne zęby są popularnym rozwiązaniem dla osób borykających się z utratą naturalnych zębów, istnieją również inne opcje, które warto rozważyć. Jedną z alternatyw są implanty dentystyczne, które oferują bardziej trwałe i stabilne rozwiązanie niż tradycyjne protezy. Implanty są wszczepiane w kość szczęki i działają jak korzenie naturalnych zębów, co pozwala na lepsze przyleganie i komfort noszenia. Choć ich koszt jest znacznie wyższy niż w przypadku protez, wiele osób decyduje się na tę opcję ze względu na długotrwałe efekty oraz naturalny wygląd. Inną możliwością są mosty protetyczne, które łączą zdrowe zęby z brakującymi i mogą być stosowane w przypadkach, gdy pacjent ma kilka braków w uzębieniu. Mosty są mniej inwazyjne niż implanty i mogą być tańszą alternatywą. Warto również wspomnieć o metodach regeneracji tkanek kostnych, które mogą być stosowane przed wszczepieniem implantów u pacjentów z utratą kości.
Jakie są opinie pacjentów na temat sztucznych zębów?
Opinie pacjentów na temat sztucznych zębów są bardzo różnorodne i często zależą od indywidualnych doświadczeń oraz oczekiwań. Wiele osób podkreśla pozytywne aspekty związane z poprawą estetyki uśmiechu oraz komfortem żucia po założeniu protez lub implantów. Pacjenci często zauważają znaczną poprawę jakości życia po leczeniu protetycznym, co wpływa na ich pewność siebie oraz samopoczucie psychiczne. Z drugiej strony niektórzy pacjenci zgłaszają trudności związane z adaptacją do nowych warunków – początkowy dyskomfort lub problemy z mową mogą być frustrujące. Ważne jest jednak, aby pamiętać, że większość osób po pewnym czasie przyzwyczaja się do noszenia sztucznych zębów i zaczyna je postrzegać jako naturalną część swojego życia. Opinie na forach internetowych czy grupach wsparcia mogą być pomocne dla osób rozważających takie rozwiązanie, ponieważ pozwalają na wymianę doświadczeń oraz uzyskanie cennych informacji od innych pacjentów.
Jak przygotować się do wizyty u stomatologa w celu zakupu sztucznych zębów?
Przygotowanie się do wizyty u stomatologa w celu zakupu sztucznych zębów jest kluczowe dla uzyskania najlepszych rezultatów oraz komfortu podczas całego procesu. Przede wszystkim warto zebrać wszystkie istotne informacje dotyczące swojego stanu zdrowia jamy ustnej oraz historii medycznej. Należy także przygotować listę pytań dotyczących dostępnych opcji protetycznych oraz kosztów związanych z leczeniem. Dobrze jest również przemyśleć swoje oczekiwania dotyczące estetyki oraz funkcji nowych zębów – im dokładniej określimy swoje potrzeby, tym łatwiej będzie lekarzowi dostosować ofertę do naszych wymagań. Warto także zabrać ze sobą wszystkie dotychczasowe dokumenty medyczne związane ze stanem uzębienia oraz ewentualnymi wcześniejszymi zabiegami stomatologicznymi. Podczas wizyty lekarz przeprowadzi dokładny wywiad oraz badanie jamy ustnej, co pozwoli mu ocenić stan zdrowia pacjenta i zaproponować odpowiednie rozwiązania protetyczne.
Jakie są najnowsze technologie w zakresie sztucznych zębów?
W dzisiejszych czasach technologia w dziedzinie stomatologii rozwija się w szybkim tempie, co przekłada się na coraz lepsze rozwiązania dla pacjentów potrzebujących sztucznych zębów. Jedną z najnowszych technologii jest zastosowanie druku 3D do produkcji protez dentystycznych. Ta innowacyjna metoda pozwala na precyzyjne dopasowanie protez do indywidualnych kształtów jamy ustnej pacjenta oraz skrócenie czasu produkcji. Dzięki temu możliwe jest uzyskanie lepszej estetyki oraz komfortu noszenia protez. Innym nowoczesnym rozwiązaniem są implanty cyfrowe, które umożliwiają dokładniejsze planowanie zabiegów chirurgicznych przy użyciu obrazowania 3D i symulacji komputerowych. Tego rodzaju technologie pozwalają na minimalizację ryzyka powikłań oraz zwiększenie skuteczności leczenia. Dodatkowo rozwijają się również materiały używane do produkcji sztucznych zębów – nowoczesne kompozyty ceramiczne oferują lepszą trwałość oraz estetykę niż tradycyjne materiały akrylowe czy metalowe.
Jak długo trwa proces adaptacji do sztucznych zębów?
Proces adaptacji do sztucznych zębów może różnić się w zależności od indywidualnych predyspozycji pacjenta oraz rodzaju zastosowanej protezy czy implantu. Zazwyczaj pierwsze dni po założeniu protez mogą być nieco trudne – wiele osób zgłasza uczucie dyskomfortu lub lekkiego bólu związane ze zmianami w jamie ustnej. Czas adaptacji może wynosić od kilku dni do kilku tygodni, a nawet miesięcy w przypadku bardziej skomplikowanych rozwiązań jak implanty dentystyczne. Kluczowe jest regularne noszenie protez oraz przestrzeganie zaleceń stomatologa dotyczących pielęgnacji jamy ustnej i samej protezy. W miarę upływu czasu większość pacjentów zaczyna przyzwyczajać się do nowych warunków – poprawia się komfort mowy i żucia, a uczucie dyskomfortu stopniowo maleje.





